Najbolj brano: Projekt otrok

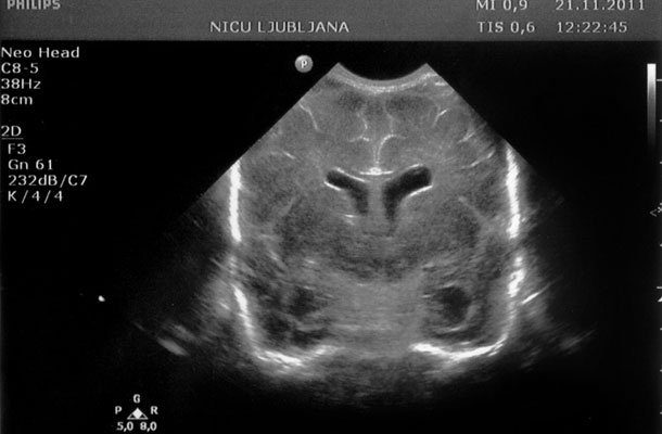
Ultrazvočna slika nezrelih možganov nedonošenčka
© Iz družinskega albuma
Ivana Djilas je pisala o tem, zakaj se za odtroke odločamo s seznamom za in proti. Njen zapis nosi naslov Projekt otrok in je te dni zopet zakrožil po spletu. "Ko se otrok rodi, so njegovi možgani precej nezreli in gladki. Če so nepoškodovani, se bodo na mestih, predvidenih za to, za vsak gibalni in umski vzorec začele vzpostavljati povezave. Možgani se bodo na površini začeli gubati in ustvarjati vijuge. Pri nedonošenčkih je to še bolj izrazito. Presenečeni bi bili, če bi z ultrazvokom vsak teden pogledali skozi veliko mečavo, odprtino med lobanjskimi kostmi novorojenčka: kar naenkrat bi opazili, da so se pojavile vijuge."